The tooth is one of the most important, yet among the most neglected of all the structures in the human body.
Your teeth can and should last a lifetime. Prevention and early detection is the key to avoiding costly and painful dental treatment. An important issue that causes psychological distress in both adolescents and adults alike is the change in facial appearance due to loss of more no. of teeth, especially in the anterior region.
With the current array of numerous treatment modalities and constantly evolving advances in dental technology, there is always a solution available for any possible dental problem. But despite the wide availability and accessibility of modern dental treatment, any dental practitioner would still always advise “PREVENTION IS BETTER THAN CURE”. Although is highly unlikely that someone can go through life without having had a case of tooth decay or had at least experienced one extraction, proper oral and dental care habits coupled with regular visits to the dentist can do wonders later on.

COMMON INFECTIONS WHICH CAN BE AVOIDED BY PREVENTION
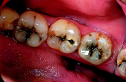
The most common diseases occurring in the oral cavity are DENTAL CARIES and PERIODONTITIS.
Both these diseases are caused by specific groups of organisms which are present in lesser numbers when a person is healthy but increases exponentially when he is in a morbid state.
DENTAL CARIES:

It occurs when bacteria feed on the food particles that are stuck in tooth crevices. These food particles act as foci where cariogenic bacteria colonize. The demineralized area is less resistant and harbors an increased number of bacteria as compared to a normal structure. And over a period of time, there develops a cavity which is not going to revert back into the normal structure.
Initially, dental caries can be treated by simple restoration but if left untreated to, it may eventually require more aggressive and invasive treatment such as RCT or even EXTRACTION.
PERIODONTITIS:

It affects the gums and surrounding supporting structures which hold teeth into place. This causes mobility of teeth which will eventually fall out of the socket. This disease starts with the deposition of dental plaque on the tooth surface.
Dental plaque is formed by colonies of bacteria and is resistant to antimicrobial agents and mechanical brushing. As this deposition progresses more of the host tissue is destroyed.
BUT DO YOU KNOW THESE DISEASES ARE PREVENTABLE?

Both of them occur when microorganisms colonize the tooth crevices/ surfaces. Preventing them from doing so is the key to preventing the occurrence of these diseases.
This is why for REALTOOTH DENTISTS, the goal is to provide preventive dental care as much as it is to provide complex dental treatments. At REALTOOTH DENTAL CLINIC, we perform a comprehensive dental examination of the patient to check for any pathology, tooth decay and gum disease as well as an oral cancer screening.
The oral maintenance program for each individual is customized. Every aspect right from the selection of toothbrush and paste to the technique of brushing to be followed will vary from individual to individual.

Some prophylactic/preventive measures can be carried out during regular dental visits. Deep fissure/grooves can be filled with sealants so that food will not get lodged into those fissures later causing caries. Fluoride application significantly reduces the incidences of caries development in children.
A routine professional cleaning (mostly biannual) and polishing to clean hard to reach areas inside your mouth. In between the appointments, the patient is advised to do his/her part with regular brushing, flossing, and use of mouth wash.
And so just like the similar adage,” AN OUNCE OF PRESERVATION IS WORTH A POUND OF CURE”- Benjamin Franklin.
Dr. Aditi Saxena
Realtooth dental clinic
