
Dental care for geriatric patients has been increasing day by day. Today, three-quarters of people over 65 retain at least some of their natural teeth, but older people still suffer higher rates of gum disease, dental decay, oral cancer, mouth infections, and tooth loss. While these problems are nothing to smile about, you can still do a lot to keep your mouth looking and feeling younger than its years.
There are three keys area
- Patient education, carer/ family member training
- Integration of oral health care into ADL
- Periodic preventive professional care COMMON DENTAL PROBLEMS FOR OLDER ADULTS
While several challenges can pop up as you age, it’s important not to let these challenges discourage you. Maintaining good oral hygiene can be harder as you get older, but making the extra effort to understand your mouth and the care it needs is important in preventing several uncomfortable and potentially painful conditions.
1. Dry mouth when the body stops producing enough saliva known as dry mouth and due to these condition teeth and gums become more susceptible to disease. Dry mouth can be a common side effect of many medications, as well as cancer treatments both of which are common in older adults.

2. Attrition After decades of chewing and grinding your teeth, the enamel can wear down. This increases your risk of cavities, but it can be a painful condition to repair if left unchecked.

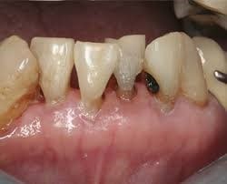
3. Root Decay The rate of tooth decay in older adults has more than in school-aged children. Root decay is especially a problem in older adults because it is often linked to gum disease that causes your gums to recede, which exposes the roots of your teeth and leaves them vulnerable to rapid decay.

4. Edentulism
Tooth extraction, which is the cause of edentulism, is due to the increase in prevalence of dental caries and periodontal diseases. It can not only affect the appearance but also there dietery habits as they tend towords the softer diet which rich in carbohydrate and fat due difficulty in chewing and this can lead to other health issues. So we in realtooth can meet their expectation with our skills and world class equipment with removable to fixed treatment.
5. Disease
Oral disease include as simple as thrush, which is just a fungal infection in the mouth, or something as serious as oral cancer. In cases like thrush, dental professionals can recommend an oral anti-thrush medication. However, individuals over the age of 60 are at the highest risk of oral cancer, Seeing a dental professional regularly is the best way to ensure early detection and successful treatment of oral cancer.
DENTAL CARE TIPS FOR SENIORS

It sounds overwhelming to think about the possible issues that can stem from poor oral hygiene later in life, but it doesn’t have to be. The good news is there are several simple steps older adults and their caretakers can take to protect their teeth and gums as they age.
2. Brush and Floss Regularly
It may seem obvious, but the best thing you can do to avoid common dental problems is to brush and floss. We recommend brushing at least twice a Make sure to brush for at least two minutes to ensure a thorough cleaning of all of your teeth. An electric toothbrush can be a great option for the arthritis patient, but if you prefer manual toothbrush, make sure to brush with a brush that has soft bristles.
2. Use Fluoride
Fluoride isn’t just necessary for young children — it can also be part of good oral hygiene for older adults. Apply fluoride to your teeth by using a fluoride toothpaste during your daily oral care routine.
3. Avoid Tobacco
Staying away from all tobacco products will decrease your risk of oral cancer and other dental issues.
4. Increase Oral Hydration
If you’re struggling with dry mouth as a side effect of one of your regular medications, talk with your doctor. If it’s possible to switch to another medicine that doesn’t cause that side effect, do it. If you need to stay on the medication causing the issues, make sure you drink plenty of water, chew sugarless gum and avoid alcohol, because it can increase your body’s chances of dehydration.
5. Use an Antibacterial Mouthwash
In conjunction with regular brushing and flossing practices, using an antibacterial mouthwash can help reduce plaque buildup in your mouth.
6. Schedule Regular Dental Exams
On average, adults should visit their dentist every six months for a cleaning and exam, maybe even more frequently if you have an ongoing dental issue. Routine care can help prevent some problems, as well as give your dentist the opportunity to address any existing problems before they have a chance to get worse.
7. Listen to Your Dentist
It’s important to communicate with your dentist and follow their instructions. Older adults especially need to work with their dentist to determine care for issues as they arise, as well as develop a preventive plan that helps keep their oral health in check.
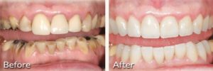
Why we are a Best dental clinic in Hazratganj because we care about your smile. Our goal is to teach our patients how to take an active role in their oral hygiene by teaching them about the importance of good oral health and disease prevention. By educating our patients, today we teaching about Dental Implants in Lucknow and spreading out the power of happiness we believe they will be better equipped to take charge of their oral hygiene and be inspired to protect their teeth and gums for years to come.
Dr.Ragini Dubey
Prosthodontist
Realtooth Dental Clinic
