
We live in a social world and how we look influences our interaction with others. Looking good feels great, and it actually makes us feel healthier and more confident. What’s the most noticeable attribute of a face? The eyes? They may mirror the soul, but experts have shown that it is the smile that is the most prominent feature. Smile is the first focus of attention and a decisive factor when others form an opinion about how you look. Face and smile play a crucial role in the creation and maintenance of a positive attitude about one’s self and has a tremendous emotional significance.
A little attention to your smile and oral hygiene can do wonders to your personality. Few important problems that require our attention in day to day oral care routine are discussed below.
BAD BREATH

Bad breath is a universal social stigma medically known as halitosis. Halitosis can cause significant worry, embarrassment, and anxiety but it is relatively easy to remedy.
The most common cause of halitosis is bad oral hygiene. If you don’t brush and floss teeth daily, food particles can remain in your mouth, promoting bacterial growth between teeth, around the gums, and on the tongue.
Other causes include gums disease, smoking, and dry mouth. Antibacterial mouth rinses also can help reduce bacteria. Keeping the mouth hydrated can reduce mouth odor. The best treatment for bad breath is staying hydrated, regular brushing and flossing twice a day. Do not forget to clean your tongue, too! If your breath suddenly produces an unpleasant odor, it may be a sign of underlying disorder like diabetes, etc. In such cases, you should seek medical attention.
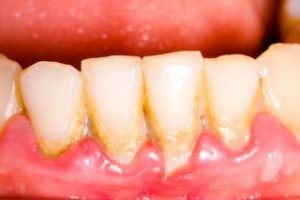
DISEASED GUMS

It’s time to talk about gum health, which may seem like a less important topic at first but actually a very important health-related topic. In severe cases, gum diseases may actually lead to tooth loss. Here are signs indicating your gums are unhealthy and you shouldn’t ignore them and consult your dentist:
- They bleed quite often when you brush or floss.
- They’re red and puffy.
- They’re receding away from your teeth.
- They hurt or feel tender when you brush, floss or consume anything hot or cold.

Gingivitis (inflammation of gums) is actually irreversible but when it progresses into periodontitis, however, the bacteria spreads below the gum line and can even affect the bone, which may eventually lead to tooth loss. Regular dental check-up and proper oral hygiene maintenance will help keep your gums healthy.
YELLOW/DISCOLORED TEETH

Though not as urgent as other dental conditions, yellow teeth can cost you your confidence and willingness to smile every day. Teeth can become discolored by stains on the surface or by changes inside the tooth. Extrinsic stains when the outer layer of the tooth (enamel) is stained by coffee, wine or other drinks or foods. Smoking also causes extrinsic stains. Intrinsic stains occur when the inner structure of the tooth (the dentin) darkens or gets a yellow tint.
Professional cleaning, whitening treatments, and veneers are a few options for yellow teeth. Our experts at Realtooth practice bleaching. The procedure involves applying a bleaching agent onto your teeth and using a special light or laser to enhance the effect of whitening agents. You should always consult your dentist to discuss your options.
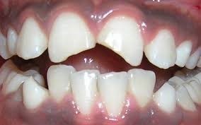
CROOKED/ MALALIGNED TEETH
Straightening of a crooked tooth can have an effect on your smile. Dental braces are devices used to correct crowded or crooked teeth, or a misaligned jaw, known as malocclusion. Clear aligners are also an orthodontic option that will help straighten your teeth efficiently. If you are interested in improving your smile, speak to your dentist and discuss the various treatment options that will help make your teeth and smile more beautiful.
CROOKED TEETH

CERAMIC BRACES

CLEAR ALIGNERS

FIXING IMPERFECTIONS
When it comes to cosmetic dentistry, there are many options your dentist might recommend depending upon your medical history, the current status of your teeth, and other factors. Cosmetic dentistry can be used to make many aesthetic changes like fixing a chipped tooth with tooth restorations like crowns, bridges or veneers.
CHIPPED TOOTH

Our experts at Realtooth, best dental clinic in lucknow, will do the assessment of your teeth with best dentist professionals in the region like any staining, gaps between the teeth or tooth discoloration, following which suitable options like veneers, crowns, bridges, dental implants will be advised. Following that assessment, a customized treatment plan will be made with the end goal being the smile you’ve always wanted.
So, If you aren’t happy with the way your teeth look and want to see if cosmetic dentistry is right for you, contact the experienced team at REALTOOTH! We can determine the right plan for you and find a way to make the smile you’ve dreamed about become a reality!
Dr. Shikha Gautam
Dental Surgeon
Realtooth Dental Clinic
